
Brainstorming on Zoom Hampers Creativity
Turning off the camera when trying to hash out new ideas might help

Bret Stetka is a writer based in New York City and editorial director of Medscape Neurology (a subsidiary of WebMD). His work has appeared in Wired, NPR and the Atlantic. He graduated from the University of Virginia School of Medicine in 2005. Follow Bret Stetka on Twitter @BretStetka Credit: Nick Higgins

Turning off the camera when trying to hash out new ideas might help

Waking yourself from the twilight state just before sleep may help you to solve a challenging problem, a study shows

A new system that targets specific spinal nerves restored motor function quickly in three patients unable to move their legs or trunk

The technology lets people with paralysis perform thought dictation at rates approaching the thumb speeds of texters

The give-and-take of formal arguments is still outside of a machine’s “comfort zone”—at least for now

Simultaneous TV, texting and Instagram lead to memory-sapping attention lapses

Humans’ spatial recall makes mental notes about the location of high-calorie foods

The avian cortex had been hiding in plain sight all along. Humans were just too birdbrained to see it

People in low-income neighborhoods eat more proteins from animals and less of them from vegetables, a study suggests

The sequence in which clusters of olfactory neurons switch on can evoke the smell of an apple instead of a pear

Kids rated whether Santa Claus or the Wiggles actually exist in a test of cultural beliefs

Humans have a history of status division stretching back at least 4,000 years

Diminishing levels of an omega-3 fatty acid may have health consequences, including a higher risk for depression, ADHD and early dementia

The so-called organoids are not capable of complex thought but could be used to study neurological diseases

A genetic therapy that increases or lowers levels of a protein raises hopes for a treatment for neurological disorders

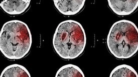
Shutting down an inflammatory molecule could potentially provide treatment days after onset

Neural processing centers repeat recent sequences of events to lay down new memories used for abstract thought

A still-controversial test could be administered to toddlers to gauge their chances

Among the various malignancies that can afflict the human body, few bring with them the dour prognoses of brain tumors

Back-and-forth motions may tweak the sensory organs that control our balance and spatial orientation
Support science journalism.

Thanks for reading Scientific American. Knowledge awaits.
Already a subscriber? Sign in.
Thanks for reading Scientific American. Create your free account or Sign in to continue.
Create Account