
Soils Start Comeback after Acid Rain Damage
Cuts to emissions of sulfur dioxide and nitrogen oxides help restore natural balance

Cuts to emissions of sulfur dioxide and nitrogen oxides help restore natural balance

Natural disasters, disease and farming woes may expand poverty under global warming

Relentless emissions of heat-trapping gases are endangering the planet, the World Meteorological Organization says

One tiny (and hungry) Chittenango ovate amber snail that snuck into a university lab has revealed hidden truths about a critically endangered species

As Arctic sea ice melts, an underwater recording project reveals that the submerged ecology is undergoing change, with humpbacks and killer whales staying north later in the year. Christopher Intagliata reports...

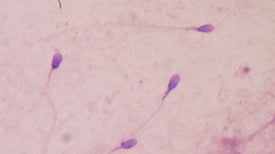
High DDT and PCB exposure during adolescence and adulthood is associated with abnormal chromosomes in sperm

Researchers developed a call that effectively mimics the citrus psyllid's mating song, which could be a weapon against a devastating crop scourge. Christopher Intagliata reports

Fuelled by El Niño and land-management blunders, fires consume precious habitat.

Researchers report a spike in the number of methane plumes along the Northwest coast emanating from depths of about 500 meters, a possible indication that submerged frozen methane is becoming available ...

Marine biologist James McClintock brings a love of nature to tales of fishing adventures in remote waters ranging from Antarctica to Louisiana's marshy barrier islands

Cod rebound in warming Canadian waters but continue to decline in U.S.

The island nation is one of the world’s most vulnerable to rising sea levels. But residents may have to leave well before the ocean claims their homes

Whales fertilize ocean surface waters with key nutrients like phosphorus, which move through the food chain, and eventually, onto land. Christopher Intagliata reports

Researchers have found the first direct evidence that coho salmon near U.S. Northwest cities are being killed by chemical runoff from roads and parking lots that reach streams

As the massive cyclone made landfall, destructive winds tore down trees, moved cars and forced thousands of people to flee homes and beachfront resorts

The Tennessee Aquarium Conservation Institute, the first of its kind in the U.S., will in part focus on captive breeding endangered freshwater fish

Researchers picked apart satellite imagery from two New England forest ecosystems to get a better handle on exactly what factors influence the timing of the color changes of the autumn leaves...

Scientists are concerned about threats to biological diversity

Researchers built a physical model of the tail of the late Jurassic dinosaur Apatosaurus and found that its tail tip could have moved at supersonic speed to produce a whip-crack sound ...

The Sooner State is part of a trend toward leaving farmland untilled to tackle runoff and climate change, but some remain wary of associated pesticide use
Support science journalism.

Thanks for reading Scientific American. Knowledge awaits.
Already a subscriber? Sign in.
Thanks for reading Scientific American. Create your free account or Sign in to continue.
Create Account